radiology

TB-Guard-XAI

science Hackathon Demo Gallery

Pre-loaded Clinical Scenarios

Click "Load into Triage" to instantly populate the dashboard with real X-ray images and symptoms for one-click analysis.

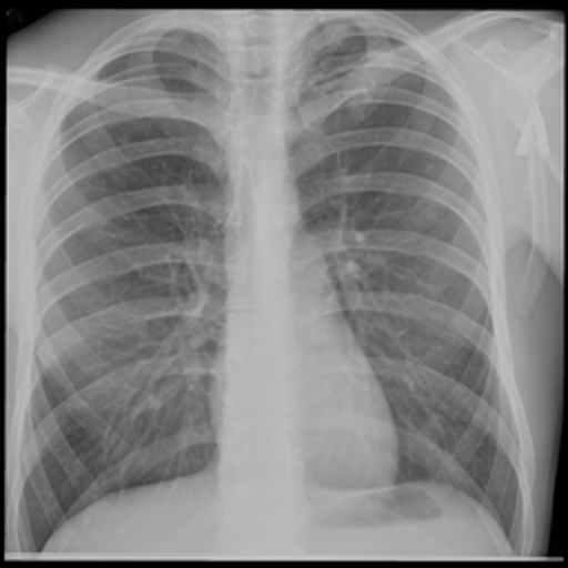
TB Positive X-ray
High Risk TB Prob: 87.5%

Classic Upper Lobe TB

Male, 45y • Persistent cough, night sweats, fever

Cavitation in the right upper lobe with surrounding consolidation. Model confidence: 87.5% TB probability.

CavitationInfiltration
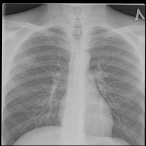
Moderate risk X-ray
Moderate Risk TB Prob: 61.3%

Subtle Lesion Detection

Female, 28y • Mild cough, routine screening

Faint nodular opacity in the mid-zone. Tests AI sensitivity to early-stage disease. Model: 61.3% TB probability.

Early StageNodule
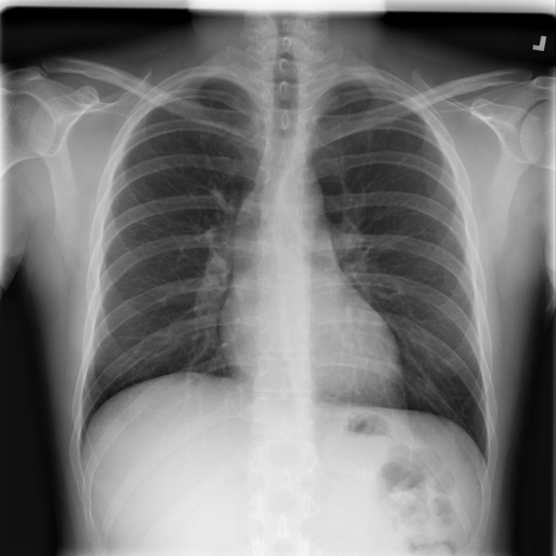
Normal chest X-ray
Healthy TB Prob: 8.6%

Healthy Control

Male, 32y • Routine checkup, asymptomatic

Clear lung fields, normal cardiac silhouette. Verifies model specificity. TB probability: only 8.6%.

BaselineControl
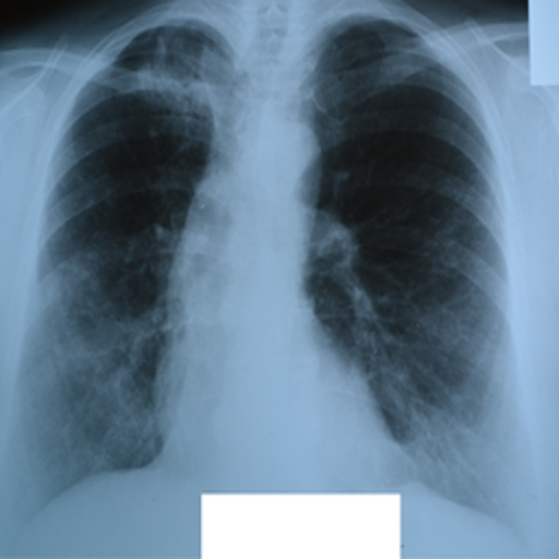
Complex case X-ray
Complex High Uncertainty

High Uncertainty Case

Male, 58y • Dyspnea, chest pain, diabetes

TB prob 84.8% but high uncertainty (std=0.16). Tests model's uncertainty quantification and edge-case handling.

ComorbidityEdge Case

Have your own X-ray?

Upload any chest radiograph directly for instant AI analysis with Grad-CAM++, RAG, and Mistral reasoning.

upload_file Go to Dashboard